靜脈曲張 Varicose veins
靜脈曲張是因為腿部靜脈瓣膜血液逆流,造成靜脈血管擴張、彎曲、突出。長期血液循環不良,會逐漸出現腿部痠痛、腫脹、發熱、抽筋、皮膚濕疹及潰瘍。家族遺傳、懷孕、長時間站立、長期抬重物導致腹壓過高,是靜脈曲張產生的主要原因。老師、廚師、護士、髮型師、專櫃人員或空服員,尤其是50歲以上的女性,都屬於高危險群。
腿部靜脈三大類型
靜脈曲張
網狀靜脈擴張
微血管擴張
如何預防下肢靜脈曲張
預防方法:
- 1.避免久站或是久坐:坐辦公室者每小時起身活動3-5分鐘,加強肌肉收縮,促進血液循環,可以達到預防、舒緩、減慢靜脈曲張的進程。
- 2.穿彈性襪:若需繼續長期站工作,請務必穿著合適的醫療級彈性襪,以減少腿部的負擔,幫助血液回流。醫療級彈性襪的壓力是漸進式,腳踝處較緊,小腿至膝蓋較鬆,這才有助於血液回流。彈性襪請在早上起床前穿上。
- 3.避免提重物。
- 4.飲食:多吃高纖食物、低油低鹽食物。少喝酒,因為酒精會加速靜脈曲張的發生。
- 5.控制體重:減重可以緩解腿部壓力,延緩血管退化。
- 6.規律的生活與運動:休息時抬高雙腿可以促進靜脈回流。
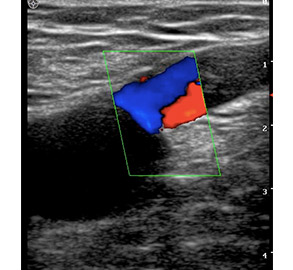
靜脈曲張診斷的正確性非常重要,影響到病人療效的結果與復發率。診斷錯誤或不完整,會造成疾病無法改善或治療後復發機率增高,醫師會透過病史、理學檢查了解病人疾病形成可能的原因,藉由超音波檢查評估後,會對於治療做正確的選擇,正確地找出問題根源所在,才能徹底治療靜脈曲張。
醫療上,專業醫師會推薦「漸進式壓縮」彈性襪,這是因為它有著特殊的上鬆下緊的針織法,由腳底開始加壓,在腳踝部分的強度為100%,在小腿部份為70%,在大腿部份為40%,將血液逐漸的由腳底壓回到心臟,對抗地心引力下拉所囤積的血液、舒緩下肢腫脹問題。
靜脈曲張,真的不是小毛病
根據流行病學的統計,大約有2%的年長民眾有嚴重的靜脈曲張,換算起來影響超過20萬國人,並不亞於痛風及冼腎!靜脈曲張的治療,極具挑戰性;門診時,每每遇到患者的小腿皮膚已經是搔癢、硬化、潰瘍出血才來就醫,近年來科技的進步,先進的雷射手術在二十一世紀有突破性的發展,雷射手術都是在局部麻醉下進行,不需要住院,病患術後立即穿上預先準備的彈性襪,一個小時內就可完成。
作者:楊志勛
出版社:大塊文化
出版日期:2017/04/28
語言:繁體中文
書本簡介
靜脈曲張
站立時,可以在小腿內側看到像蚯蚓一般,摸起來軟軟的,扭曲變形鼓出的血管,直徑大於0.3公分,這類型的靜脈曲張會影響腿部的血液循環、如果放任惡化沒有治療、皮膚會逐漸出現濕疹及潰瘍。
網狀靜脈擴張

血管稍微凸出,不規則彎曲,顏色稍呈藍色,直徑小於0.3公分,常出現在腳後彎及大腿外側,和蜘蛛絲般的細小血管相連。有時會連到深層的靜脈血管,影響血液循環。

大腿外及膝部附近的藍色網狀靜脈,在皮膚白皙的患者可以很清楚的看出走向,,我們稱之為「外側皮下靜脈系統」。這種腿部網狀靜脈擴張和蜘蛛絲會隨著年齡越來越多,或是生完小孩後來逐漸浮現出來,推測可能跟女性荷爾蒙、血管的老化、小靜脈瓣膜退化有關。
這些網狀靜脈擴張由於細小,通常不會影響血液循環,絕大多數來治療的的女性患者,是因為美觀的原因來求診,希望能夠再穿上俏麗的短褲、短裙。另有三分之一左右的病患,是因為局部腫脹、痠痛疲勞前來門診尋求治療,需要仔細觀察,必要時進行血管超音波,來檢查是否潛在有蚯蚓般的靜脈曲張。

微血管雷射
長脈沖染料雷射 (dye laser,585~595毫米) ,銣雅各雷射 (Nd-YAG Laser,1064 毫米) 及亞力山大 (Alexandrite Laser,755 毫米) 或合併注射治療,是目前最有效的治療方法,但需3-5次才能達到最佳的效果。
微血管擴張

外觀上可以觀察到紅色或藍紫色、不規則細絲、直徑小於0.1公分、分佈在大腿內、外側或小腿外側,像是煙火般發散,密密麻麻交織成蜘蛛網狀。因為血管很小,並不造成血液循環障礙。
根據統計,30歲的女性,20%有腿部的微血管擴張問題,到了60歲,更有高達一半的女性會出現程度不一的微血管擴張,這些有如蜘蛛絲般的細小血管,因外觀不佳,很多小姐都一年四季穿長褲,把腳包的緊緊。真的非常苦惱。

臉部的微血管擴張
臉部長期陽光曝曬後,日積月累的傷害,會造成真皮層結締組織失去彈性,當再也無法支撐血管,血管便會逐漸的擴張,這種微血管擴張的現象,常常可以在喜歡做日光浴的西方人臉上看到。面部的酒糟性皮膚病變,也會造成兩頰及鼻頭的微血管擴張。
微血管雷射
長脈沖染料雷射 (dye laser,585~595毫米) ,銣雅各雷射 (Nd-YAG Laser,1064 毫米) 及亞力山大 (Alexandrite Laser,755 毫米) 或合併脈沖光、注射治療,是目前最有效的治療方法,但需3-5次才能散退80%的血絲。
相關媒體
靜脈曲張雷射手術
參考資料
- Chih-Hsun Yang, et.al Incompetent great saphenous veins treated with endovenous 1320-nm laser: results for 71 legs and morphological evolvement study Dermatol Surg 2006: 32, 1453-1457
- Chih-Hsun Yang, et al Ultrasound-Guided Foam Sclerotherapy for Treating Incompetent Great Saphenous Vein--- Results of 5 Years Analysis and Morphologic Evolvement Study Dermatol Surg 2012 Jun;38(6):851-7.
- 楊志勛 靜脈曲張真的不是小毛病, 大塊文化 2017


